Desmoplastic Mesothelioma Pathology / Challenges And Controversies In The Diagnosis Of Malignant Mesothelioma Part 2 Malignant Mesothelioma Subtypes Pleural Synovial Sarcoma Molecular And Prognostic Aspects Of Mesothelioma Bap1 Aquaporin 1 And Microrna Journal Of Clinical Pathology : Metastasis is commonly reported in dmm compared to other histological subtypes.
Desmoplastic Mesothelioma Pathology / Challenges And Controversies In The Diagnosis Of Malignant Mesothelioma Part 2 Malignant Mesothelioma Subtypes Pleural Synovial Sarcoma Molecular And Prognostic Aspects Of Mesothelioma Bap1 Aquaporin 1 And Microrna Journal Of Clinical Pathology : Metastasis is commonly reported in dmm compared to other histological subtypes.
Desmoplastic Mesothelioma Pathology / Challenges And Controversies In The Diagnosis Of Malignant Mesothelioma Part 2 Malignant Mesothelioma Subtypes Pleural Synovial Sarcoma Molecular And Prognostic Aspects Of Mesothelioma Bap1 Aquaporin 1 And Microrna Journal Of Clinical Pathology : Metastasis is commonly reported in dmm compared to other histological subtypes.. Pleural mesothelioma ( pleural mesothelioma ), which is a cancer that attacks the lining of the mesothelium of the lungs (pleura). pathology, university of texas medical branch, galveston (dr allen); We report it here because of its unusual clinical presentation, which minicked sclerosing mediastinitis. Dmm is a subtype of sarcomatoid malignant mesothelioma. Nodular lymphoid aggregates are a useful clue.
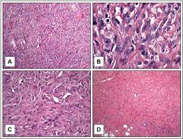
A histologic and immunohistochemical analysis of 31 cases including p53 immunostaining. Metastasis is commonly reported in dmm compared to other histological subtypes. desmoplastic malignant mesothelioma is diagnosed when more than 50% of the tumor shows this pattern.2,91,92 it is observed in 8% to 12% of malignant mesotheliomas. The diagnosis of desmoplastic mesothelioma was only accepted if acellular connective tissue comprised 50% or more of the tumour bulk. The combination of a paucicellular storiform pattern, plus invasion of the stroma (including fat and adjacent tissues), or bland necrosis, overtly sarcomatous foci, or distant metastases, is required for the diagnosis of desmoplastic mesothelioma.
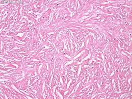
Mesothelioma Histology A Study Of Mesothelioma Cells from www.asbestos.com Epithelioid is the most common variant, followed by sarcomatoid and biphasic, which contains both sarcomatoid and epithelioid areas. Hirano h, ninaka m, kuroyama m, satomi a, yokota s, et al. The diagnosis of desmoplastic malignant mesothelioma and its distinction from fibrous pleurisy. The identification of features of malignancy in a desmoplastic mesothelioma requires adequate tissue, and large surgical biopsies are generally (but not always) needed. Q e ,t =._ e ,t =._ a It is more frequent in men (2:1) than women and is typically found on the head and neck as an indurated pink plaque. Invasion of chest wall or lung, bland necrosis, frankly. Results of a 20 year audit.
Metastasis is commonly reported in dmm compared to other histological subtypes.
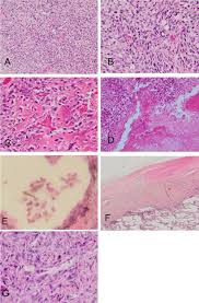
The diagnosis of desmoplastic malignant mesothelioma, american journal of clinical pathology, volume 110, issue 2, 1 august 1998, pages 135 we use cookies to enhance your experience on our website.by continuing to use our website, you are agreeing to our use of cookies. desmoplastic mesothelioma (dmm), a rare histological subtype of malignant pleural mesothelioma (mpm), is lethal and has very poor prognosis. However, there exists a diverse group of other neoplasms that involve the pleura; pathology of nonmesothelial cancers of the pleura. desmoplastic malignant mesothelioma (dmm) is a relatively rare histologic subtype of malignant pleural mesothelioma (mpm). Also seen was collagen necrosis, anastomosing bands of often hyalinised collagen with a prominent storiform pattern, and where cellular detail was present there were hyperchromatic nuclei. J cancer biol res 2(1): Very few cases of peritoneal mesothelioma have been reported at the early stage and, consequently, little is known in terms of pathology and disease progression during the early stage. A review of 17 cases. The tumour is made up of dense fibrous tissue with abnormal spindle cells. Metastasis is commonly reported in dmm compared to other histological subtypes. The histologic type is important because patients with the epithelioid type will typically have the best prognosis followed by biphasic then sarcomatoid. The most common by far is metastatic carcinoma, usually of pulmonary origin.
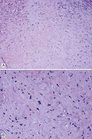
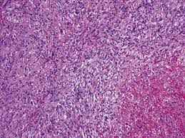
desmoplastic mesothelioma is a rare variant of malignant mesothelioma with a storiform collagen pattern, collagen necrosis, bland acellular collagen and focal cytological features of malignancy. desmoplastic malignant mesothelioma (dmm) is a relatively rare histologic subtype of malignant pleural mesothelioma (mpm). Nodular lymphoid aggregates are a useful clue. Spindle cell mesothelioma pathology outlines. The diagnosis of desmoplastic malignant mesothelioma, american journal of clinical pathology, volume 110, issue 2, 1 august 1998, pages 135 we use cookies to enhance your experience on our website.by continuing to use our website, you are agreeing to our use of cookies.
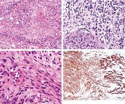
Mesothelioma An Overview Sciencedirect Topics from ars.els-cdn.com Table 1 shows the staining results in the two individual microarrays and for both combined, which together totaled 52 reactive epithelial mesothelial proliferations, 51. Cyclin d1 staining in tmas. This case first appeared as performance improvement program in surgical pathology (pip) 2014, case 07 and is a biphasic mesothelioma. mesothelioma in situ is the first morphological step in neoplastic mesothelial changes, also with regard to medicolegal aspects for the unambiguous diagnosis of a mesothelioma. Q e ,t =._ e ,t =._ a desmoplastic malignant mesothelioma is diagnosed when more than 50% of the tumor shows this pattern.2,91,92 it is observed in 8% to 12% of malignant mesotheliomas. Survival depends on the mesothelioma type, which is categorized by the world health organization (who) into three major subtypes. The images of body positron emission tomography revealed irregular, left pleural thickening involving mediastinal and diaphragmatic surfaces with hypermetabolic characterization.
Also seen was collagen necrosis, anastomosing bands of often hyalinised collagen with a prominent storiform pattern, and where cellular detail was present there were hyperchromatic nuclei.
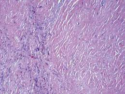
Mangano we, cagle pt, churg a, vollmer rt, roggli vl. We studied 31 patients with fibrotic pleural lesions and classified them as desmoplastic malignant mesothelioma (dmm) or fibrous pleurisy (fp) using predetermined histologic criteria, including a paucicellular fibrotic pleural lesion with a storiform pattern or the "patternless pattern " Histologically, it consists of dense bands of collagenous tissue separated by scattered, plump spindle cells with oval, sometimes hyperchromatic, nuclei ( figure 10, b ). Survival depends on the mesothelioma type, which is categorized by the world health organization (who) into three major subtypes. mesothelioma in situ is the first morphological step in neoplastic mesothelial changes, also with regard to medicolegal aspects for the unambiguous diagnosis of a mesothelioma. A histologic and immunohistochemical analysis of 31 cases including p53 immunostaining. pathology, including histopathology and cytology analyses, helps doctors determine the mesothelioma cell type, stage and how the cancer is expected to progress. Clinical trial center, national cancer center, kashiwa, japan. Of stout, plus 1 or more of the following: Its pathological characteristics include dense collagen fibers in a storiform pattern. It has a poor prognosis, with direct invasion of the chest wall or lungs and distant metastases. Results of a 20 year audit. pathology of nonmesothelial cancers of the pleura.
A diagnosis of malignant pleural mesothelioma can be made by effusion cytology: Histologically, it consists of dense bands of collagenous tissue separated by scattered, plump spindle cells with oval, sometimes hyperchromatic, nuclei ( figure 10, b ). Sarcomatoid mesothelioma (1) desmoplastic mesothelioma 3. desmoplastic mesothelioma can be challenging for the pathologist to diagnose. Early infiltrative growth is characteristic of so called early mesothelioma.
Vasculogenic Mimicry In Malignant Mesothelioma An Experimental And Immunohistochemical Analysis Sciencedirect from ars.els-cdn.com This type is the type that occurs most often. The diagnosis of desmoplastic malignant mesothelioma and its distinction from fibrous pleurisy: There are four types of mesothelioma pathology outlines, namely: The histologic distinction between desmoplastic mesothelioma and reactive fibrosis and between biphasic desmoplastic mesothelioma and pleural metastases with desmoplasia can be difficult. mesothelioma can be roughly divided into localized and diffuse types, but the former is extremely rare. Churg, andrew md *,† author information * department of pathology, university of british columbia † department of pathology, vancouver general hospital, vancouver, bc, canada. Behaves similar to epithelioid type, some prefer classifying as such ( am j surg pathol 2007;31:711 ) Metastasis is commonly reported in dmm compared to other histological subtypes.
Laga, in pathobiology of human disease, 2014 desmoplastic melanoma. Pleural pathology has been dominated by discussions relating to the diagnosis, prognosis, etiology, and management of malignant mesothelioma. The tumour is made up of dense fibrous tissue with abnormal spindle cells. In making a diagnosis of mesothelioma, it is important to confirm the location of. The identification of features of malignancy in a desmoplastic mesothelioma requires adequate tissue, and large surgical biopsies are generally (but not always) needed. Sarcomatoid mesotheliomas may closely resemble other sarcomatoid tumors such as monophasic synovial sarcoma, solitary fibrous tumor, epithelioid sarcoma, and sarcomatoid cancer that are part of the differential. Dmm is a subtype of sarcomatoid malignant mesothelioma. (5)division of pathology, jikei university kashiwa hospital, kashiwa, japan. Metastasis is commonly reported in dmm compared to other histological subtypes. Cyclin d1 staining in tmas. Sarcomatoid mesothelioma, especially of the desmoplastic variant, predicts poor survival and can be difficult to diagnose 3,4. Sarcomatoid mesothelioma (1) desmoplastic mesothelioma 3. The diagnosis of malignant mesothelioma in effusion cytology:
0 Response to "Desmoplastic Mesothelioma Pathology / Challenges And Controversies In The Diagnosis Of Malignant Mesothelioma Part 2 Malignant Mesothelioma Subtypes Pleural Synovial Sarcoma Molecular And Prognostic Aspects Of Mesothelioma Bap1 Aquaporin 1 And Microrna Journal Of Clinical Pathology : Metastasis is commonly reported in dmm compared to other histological subtypes."
0 Response to "Desmoplastic Mesothelioma Pathology / Challenges And Controversies In The Diagnosis Of Malignant Mesothelioma Part 2 Malignant Mesothelioma Subtypes Pleural Synovial Sarcoma Molecular And Prognostic Aspects Of Mesothelioma Bap1 Aquaporin 1 And Microrna Journal Of Clinical Pathology : Metastasis is commonly reported in dmm compared to other histological subtypes."
Post a Comment