Pleural Mesothelioma On Cxr : Malignant Pleural Mesothelioma In A 17 Year Old Boy A Case Report And Literature Review Sciencedirect - Diffuse involvement of the lung parenchyma is rare.
Pleural Mesothelioma On Cxr : Malignant Pleural Mesothelioma In A 17 Year Old Boy A Case Report And Literature Review Sciencedirect - Diffuse involvement of the lung parenchyma is rare.
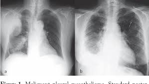
Pleural Mesothelioma On Cxr : Malignant Pleural Mesothelioma In A 17 Year Old Boy A Case Report And Literature Review Sciencedirect - Diffuse involvement of the lung parenchyma is rare.. Standard posteroanterior and lateral chest radiography remains the most important technique for initial diagnosis of pleural effusion. pleural effusions are a common diagnosis in the united states and generally indicate a larger condition or disease. In the united states, pleural mesothelioma accounts for about 3,000 instances every year. Pneumonia is due to the infection of lung parenchyma mainly by bacteria. Your general practitioner (gp) will assess your symptoms.
Findings that could indicate mesothelioma is a thickening of the pleura, deposits of calcium on the pleura, fluid in the space between the chest wall and lungs, and changes in the lungs themselves from exposure to asbestos. The main risk factor for mpm is asbestos exposure with most cases discovered in elderly males after a long latency period. While a pleural effusion may be a symptom of pleural mesothelioma itself, the condition can also cause its own symptoms like breathlessness. pleural mesothelioma is a cancer that affects the pleura, the outer lining of the lung. The diagnosis of a malignant pleural mesothelioma is not difficult provided that the physicians caring for such a patient consider mesothelioma in the differential diagnosis.
Pleural Mesothelioma Radiology Case Radiopaedia Org from prod-images-static.radiopaedia.org These two layers of the pleura are in contact and slide over Pneumonia is due to the infection of lung parenchyma mainly by bacteria. We also have a team of patient advocates who personally assist patients and their families. pleural effusions are a common diagnosis in the united states and generally indicate a larger condition or disease. In the united states, pleural mesothelioma accounts for about 3,000 instances every year. (b) after 3 months, more diffuse pleural thickening and pleural masses; Malignant pleural mesothelioma (mpm) is a highly aggressive malignant tumor that arises from mesothelial cells of pleural cavity. pleural effusion may be a symptom of mesothelioma, lung cancer or other diseases.
More specialized imaging scans and tissue biopsies to confirm a positive diagnosis for pleural mesothelioma, including:
The pleura has two layers; No pleural effusion is seen. pleural fluid ldh divided by serum ldh >0.6. The inner (visceral) layer, next to the lung, and the outer (parietal) layer which lines the chest wall. Although, most patients are asymptomatic 1, they can develop symptoms like cough or chest pain, especially if the tumor is large. But it can also affect the lining of the abdomen or the lining of the heart. Changes in the shape of your fingers and nails called finger clubbing This information focuses on mesothelioma of the chest, sometimes called malignant pleural mesothelioma. However, here we report a rare case of mpm diagnosed in a healthy young male patient without significant asbestos exposure. pleural effusion is a complication of many pathological conditions. A full time gp is likely to diagnose approximately one person with lung cancer each year. A pleural effusion is a buildup of excess fluid between the lining of the lungs and chest cavity. Treatment is supportive, which may require surgery, chemotherapy, or both.
Thoracentesis 3 months before recovered 150 cm3 of clear, yellow fluid, which was negative on culture and cytologic examination. Ajr am j roentgenol 1981; pleural effusion may be a symptom of mesothelioma, lung cancer or other diseases. Since 2008, the pleural mesothelioma center has dedicated itself to serving people affected by mesothelioma. Malignant pleural mesothelioma (mpm) is a highly aggressive malignant tumor that arises from mesothelial cells of pleural cavity.
Mesothelioma Radiology Case Radiopaedia Org from prod-images-static.radiopaedia.org Most people diagnosed with pleural plaques had no symptoms leading up to diagnosis. The symptoms of pleural mesothelioma. Standard posteroanterior and lateral chest radiography remains the most important technique for initial diagnosis of pleural effusion. pleural effusions are a common diagnosis in the united states and generally indicate a larger condition or disease. The inner (visceral) layer, next to the lung, and the outer (parietal) layer which lines the chest wall. The rate of incidence of malignant pleural mesothelioma is increasing although diagnosis of this disease may be very difficult. Diagnosing pleural plaques and mesothelioma. Ct of malignant pleural mesothelioma.
(c) after 5 months, further
The rate of incidence of malignant pleural mesothelioma is increasing although diagnosis of this disease may be very difficult. pleural effusion is a complication of many pathological conditions. $30 billion dollars is available.you could receive a million dollar + settlement. pleural mesothelioma is most cancers that impacts the intima (pleura). Your general practitioner (gp) will assess your symptoms. This information focuses on mesothelioma of the chest, sometimes called malignant pleural mesothelioma. pleural mesothelioma is a cancer that affects the pleura, the outer lining of the lung. No pleural mesothelioma was diagnosed. Extensive pleural thickening leading to volume loss and severe lung restriction is less common and termed fibrothorax (choi et al., 2001).in more than 50% of cases the involvement is unilateral (fig. mesothelioma is a type of cancer that begins to grow in the lining of certain organs. The inner (visceral) layer, next to the lung, and the outer (parietal) layer which lines the chest wall. Metastases in pleural mesothelioma usually occur late in the disease process. Diagnosis of malignant pleural mesothelioma is difficult because its early symptoms are commonly persistent cough, trouble catching your.
mesothelioma is a malignant tumor of the pleura that is mainly caused by chronic exposure to asbestos fibers and more than 40 years of exposure are needed to develop the disease. The mass was assumed to represent a solitary fibrous tumor of the pleura. Due to publicity to asbestos, pleural mesothelioma is the most typical of the three forms of mesothelioma. pleural mesothelioma is most cancers that impacts the intima (pleura). pleural effusions are a common diagnosis in the united states and generally indicate a larger condition or disease.
Pleural Effusion In Adults Etiology Diagnosis And Treatment 24 05 2019 from cfcdn.aerzteblatt.de The presence of pleural thickening is not enough to confirm a pleural mesothelioma diagnosis, but it can be a sign of serious and significant asbestos exposure. Pneumonia is due to the infection of lung parenchyma mainly by bacteria. Malignant pleural mesothelioma (mpm) is an aggressive malignant neoplasm of the pleura related to asbestos exposure. (c) after 5 months, further In one retrospective study, researchers reported 88% of malignant pleural mesothelioma patients showed pleural thickening on ct scan images. The symptoms of pleural mesothelioma include difficulty in breathing, difficulty in sleeping, pain in the chest and abdominal regions, blood vomits, weakness, weight loss, loss of appetite, lower back pains, persistent coughing, hoarseness of voice, sensory loss and difficulty in swallowing. An exudate is likely if at least one of the following criteria are met: In the united states, pleural mesothelioma accounts for about 3,000 instances every year.
However, here we report a rare case of mpm diagnosed in a healthy young male patient without significant asbestos exposure.
Although, most patients are asymptomatic 1, they can develop symptoms like cough or chest pain, especially if the tumor is large. Most people diagnosed with pleural plaques had no symptoms leading up to diagnosis. But it can also affect the lining of the abdomen or the lining of the heart. mesothelioma is a type of cancer that begins to grow in the lining of certain organs. pleural fibromas, also known as localized fibrous tumors of the pleura or benign mesothelioma, are rare tumors that arise from the pleura 1. We also have a team of patient advocates who personally assist patients and their families. No pleural mesothelioma was diagnosed. pleural effusion is a complication of many pathological conditions. He worked for 20 years as a coal miner. Patients typically present with hard time breathing, chest pain and pain in the back. The main symptoms are shortness of breath, pain when breathing, chest/shoulder/upper arm pain, loss of appetite, weight loss, and persistent cough or bouts of pneumonia. A full time gp is likely to diagnose approximately one person with lung cancer each year. Since 2008, the pleural mesothelioma center has dedicated itself to serving people affected by mesothelioma.
0 Response to "Pleural Mesothelioma On Cxr : Malignant Pleural Mesothelioma In A 17 Year Old Boy A Case Report And Literature Review Sciencedirect - Diffuse involvement of the lung parenchyma is rare."
0 Response to "Pleural Mesothelioma On Cxr : Malignant Pleural Mesothelioma In A 17 Year Old Boy A Case Report And Literature Review Sciencedirect - Diffuse involvement of the lung parenchyma is rare."
Post a Comment